Εννιάχρονο αγόρι έχασε το 80% της όρασής του παίζοντας με δείκτη λέιζερ

Εννιάχρονο αγόρι έχασε το 80% της όρασής του παίζοντας με δείκτη λέιζερ

Πίνακας περιεχομένων

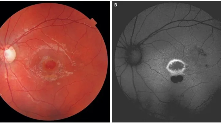
Ένα αγόρι εννιά ετών στην Ελλάδα υπέστη σοβαρή ζημιά στο μάτι, παίζοντας με έναν δείκτη λέιζερ. Το παιδί κοιτούσε συνεχώς την πράσινη δέσμη λέιζερ, με συνέπεια να ανοίξει τρύπα στον αμφιβληστροειδή φακό του αριστερού ματιού του και να χάσει το 80% περίπου της όρασής του. {ad} Η περίπτωση παρουσιάσθηκε από την επίκουρη καθηγήτρια οφθαλμολογίας Σοφία […]

Ένα αγόρι εννιά ετών στην Ελλάδα υπέστη σοβαρή ζημιά στο μάτι, παίζοντας με έναν δείκτη λέιζερ. Το παιδί κοιτούσε συνεχώς την πράσινη δέσμη λέιζερ, με συνέπεια να ανοίξει τρύπα στον αμφιβληστροειδή φακό του αριστερού ματιού του και να χάσει το 80% περίπου της όρασής του.

{ad}

Η περίπτωση παρουσιάσθηκε από την επίκουρη καθηγήτρια οφθαλμολογίας Σοφία Ανδρούδη του Ιατρικού Τμήματος του Πανεπιστημίου της Θεσσαλίας και την χειρουργό οφθαλμίατρο – παιδοφθαλμίατρο Ελένη Παπαγεωργίου του Πανεπιστημιακού Νοσοκομείου της Λάρισας στο διεθνούς φήμης ιατρικό περιοδικό “The New England Journal of Medicine” (NEJM).

Το περιστατικό, σύμφωνα με τους επιστήμονες, είναι μια υπόμνηση ότι οι δείκτες λέιζερ είναι πολύ χρήσιμοι για μια παρουσίαση PowerPoint σε ακροατήριο, αλλά και επικίνδυνοι αν χρησιμοποιηθούν με λανθασμένο τρόπο. Η ενέργεια από έναν δείκτη λέιζερ που στοχεύει κατ’ ευθείαν το μάτι, σύμφωνα με την Υπηρεσία Τροφίμων και Φαρμάκων (FDA) των ΗΠΑ, «μπορεί να είναι περισσότερο επιβλαβής από ό,τι αν κοιτάζει κανείς απευθείας τον Ήλιο».

Η FDA απαγορεύει τους δείκτες λέιζερ ισχύος άνω των πέντε μιλιβάτ, ενώ σε άλλες χώρες η απαγόρευση αφορά τους δείκτες άνω του ενός μιλιβάτ (mW). Όμως, δεν διαθέτουν όλα τα προϊόντα την κατάλληλη σήμανση ή μπορεί στην πραγματικότητα να έχουν μεγαλύτερη ενεργειακή ισχύ από την αναγραφόμενη, σύμφωνα με την Αμερικανική Ακαδημία Οφθαλμολογίας. Επιπλέον, όπως επισημαίνουν και οι δύο Ελληνίδες οφθαλμίατροι, δυστυχώς οι καταναλωτές μπορούν να αγοράσουν πιο ισχυρούς δείκτες λέιζερ μέσω του διαδικτύου.

Στην περίπτωση του εννιάχρονου αγοριού δεν είναι σαφές πόση ακριβώς ήταν η ισχύς της δέσμης λέιζερ. Πάντως, η βλάβη στο αριστερό μάτι του παιδιού ήταν πολύ σοβαρή για να αποκατασταθεί με επέμβαση, με αποτέλεσμα περίπου ενάμισι έτος μετά το συμβάν, η όρασή του να έχει παραμείνει μειωμένη.

Ακολουθείστε το iPaidia στο Google News

Tελευταίες Ειδήσεις για την Παιδεία και την εργασία στο iPaidia.gr