Νέες ενδείξεις για «μεταδοτική μορφή» της Αλτσχάιμερ

Νέες ενδείξεις για «μεταδοτική μορφή» της Αλτσχάιμερ

Πίνακας περιεχομένων

Για δεύτερη φορά σε διάστημα τεσσάρων μηνών, νευροεπιστήμονες παρουσιάζουν ενδείξεις ότι η νόσος του Αλτσχάιμερ μπορεί σε σπάνιες περιπτώσεις να μεταδοθεί στη διάρκεια χειρουργικών ή άλλων ιατρικών πράξεων -αν και οι ίδιοι οι ερευνητές τονίζουν ότι οι υποψίες τους δεν έχουν ακόμα επιβεβαιωθεί. Η νέα μελέτη, η οποία δημοσιεύεται στην επιθεώρηση Swiss Medical Weekly, αφορά […]

Για δεύτερη φορά σε διάστημα τεσσάρων μηνών, νευροεπιστήμονες παρουσιάζουν ενδείξεις ότι η νόσος του Αλτσχάιμερ μπορεί σε σπάνιες περιπτώσεις να μεταδοθεί στη διάρκεια χειρουργικών ή άλλων ιατρικών πράξεων -αν και οι ίδιοι οι ερευνητές τονίζουν ότι οι υποψίες τους δεν έχουν ακόμα επιβεβαιωθεί.

Η νέα μελέτη, η οποία δημοσιεύεται στην επιθεώρηση Swiss Medical Weekly, αφορά επτά ασθενείς που πέθαναν από τη νόσο των Κρόιτσφελντ-Γιάκομπ, μια σπάνια σπογγώδη εγκεφαλοπάθεια που σχετίζεται με τη νόσο των «τρελών αγελάδων». Και οι επτά ασθενείς, ηλικίας 28 έως 63 ετών, είχαν υποβληθεί δεκαετίες νωρίτερα σε χειρουργικές επεμβάσεις κατά τις οποίες έλαβαν πτωματικά μοσχεύματα σκληρής μήνιγγας (μιας από τις τρεις μεμβράνες που περιβάλλουν τον εγκέφαλο και το νωτιαίο μυελό).

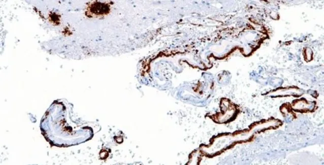
Σε αντίθεση με άλλους ασθενείς που πέθαναν από Κρόιτσφελντ-Γιάκομπ χωρίς να έχουν υποβληθεί σε ανάλογες επεμβάσεις, οι επτά ασθενείς της μελέτης εμφάνιζαν στην φαιά ουσία και τα αιμοφόρα αγγεία τους συγκεντρώσεις, ή πλάκες, μιας πρωτεΐνης που ονομάζεται βήτα αμυλοειδές και είναι ένα από τα κύρια παθολογικά ευρήματα στην Αλτσχάιμερ.

Σύμφωνα με τους ερευνητές, είναι πιθανό ότι τα μοσχεύματα σκληρής μήνιγγας ήταν μολυσμένες με τόσο με τον παθογόνο παράγοντα που προκαλεί σπογγώδη εγκεφαλοπάθεια (παθολογικές πρωτεΐνες που ονομάζονται πριόν) όσο και με μικρές ποσότητες βήτα αμυλοειδούς, οι οποίες με κάποιο τρόπο πολλαπλασιάστηκαν στο νευρικό σύστημα των ληπτών.

Πάντως, κανείς από τους επτά ασθενείς δεν είχε εκδηλώσει σημεία άνοιας, πιθανώς επειδή η νόσος του Αλτσχάιμερ εξελίσσεται πολύ αργά και γίνεται αντιληπτή μόνο σε μεγάλη ηλικία.

Η μελέτη έρχεται να προστεθεί σε πρόσφατη δημοσίευση στο περιοδικό Nature, στην οποία βρετανοί ερευνητές εξέταζαν οκτώ περιπτώσεις σχετικά νέων αθρώπων, οι οποίοι προσβλήθηκαν από σπογγώδη εγκεφαλοπάθεια έπειτα από τη λήψη αυξητικής ορμόνης που προερχόταν από πτωματικούς δότες. Οι τέσσερις από τους οκτώ εμφάνιζαν πλάκες βήτα αμυλοειδούς πρωτεΐνης στη φαιά ουσία και τα αγγεία τους.

Οι δύο μελέτες, τονίζει ο δικτυακός τόπος του Nature, σε καμία περίπτωση δεν δείχνουν ότι η νόσος του Αλτσχάιμερ μπορεί να μεταδοθεί από άνθρωπο σε άνθρωπο με την απλή επαφή. Επιπλέον, τα μοσχεύματα και η αυξητική ορμόνη από πτωματικούς δότες έχουν πάψει πλέον να χρησιμοποιούνται από τους γιατρούς.

Παρόλα αυτά, τα ευρήματα θα μπορούσαν να έχουν μεγάλη σημασία για τους χειρουργούς, δεδομένου ότι το βήτα αμυλοειδές έχει την τάση να κολλάει στα χειρουργικά εργαλεία και δεν απομακρύνεται με τις στάνταρτ διαδικασίες αποστείρωσης.

Δυνητικά, και εφόσον ευσταθούν οι υποψίες, ασθενείς που υποβάλλονται σε επεμβάσεις θα μπορούσαν να μολυνθούν με Αλτσχάιμερ στη διάρκεια του χειρουργείου, λένε οι συντάκτες της νέας μελέτης.

Τονίζουν όμως ότι τίποτα δεν έχει ακόμα αποδειχθεί. Οι δότες, τα μοσχεύματα και οι δόσεις πτωματικής αυξητικής ορμόνης δεν είχαν ελεγχθεί για παρουσία βήτα-αμυλοειδούς, και κανείς δεν μπορεί να αποκλείσει το ενδεχόμενο οι πλάκες που βρέθηκαν στους νεκρούς ασθενείς να σχετίζονταν με προϋπάρχουσες παθήσεις.

Ακολουθείστε το iPaidia στο Google News

Tελευταίες Ειδήσεις για την Παιδεία και την εργασία στο iPaidia.gr